Skip to main content

Composite Bonding

At Millbank Dental Care, we offer composite bonding, a revolutionary cosmetic dental treatment designed to enhance your smile's natural beauty. This versatile procedure skillfully uses tooth-colored resin to repair chips, cracks, discoloration, and even minor gaps, seamlessly blending with your existing teeth for a flawless, natural look. Experience a brighter, more confident smile with this effective and minimally invasive solution.
Orthodontic Treatments London

Composite Bonding

Located conveniently in the heart of Westminster, our practice at Millbank Dental Care is dedicated to providing our patients with the highest standard of cosmetic and restorative dental treatments. We understand that each smile is unique, as are your aesthetic goals. Composite bonding is one of the versatile tools our experienced dentists utilise to craft beautiful, natural-looking results, often in just a single visit. It's a popular choice for patients seeking noticeable improvements without extensive procedures.
woman in a dentist chair, she is looking at her teeth in a mirror, the dentist is behind her pointing at her teeth

What is Composite Bonding?

At its core, composite bonding is a cosmetic dental procedure that involves the application of a tooth-coloured resin material to your teeth. This material, known as dental composite, is a plastic and glass mixture that is pliable when applied but hardens when exposed to a special light. It's the same type of material often used for white fillings, but in cosmetic bonding, the focus is entirely on enhancing the tooth's appearance and shape rather than filling a cavity.

How Does it Work?

Think of composite bonding as sculpting. Our skilled dentists at Millbank Dental Care meticulously apply this putty-like resin, carefully shaping and moulding it to blend seamlessly with your existing teeth. The goal is to correct aesthetic flaws and improve the overall harmony of your smile in a conservative manner.

One of the significant advantages of composite bonding is its efficiency. Most bonding procedures are completed in a single visit to our practice in Westminster, London, making it a convenient option for busy individuals. The process is straightforward and comfortable, typically involving the following steps:

Is It The Right Option?

While Composite Bonding offers numerous benefits, it's important to understand that it may not be the perfect solution for everyone. Determining if it's the right option for you requires a personalised assessment by a qualified dental professional.

Composite Bonding is generally an excellent choice for individuals with:

  • Minor to Moderate Cosmetic Imperfections
    It is most effective for addressing small chips, cracks, minor gaps, mild discolouration, or slight irregularities in tooth shape or size.
  • Good Overall Oral Health
    Before undergoing any cosmetic procedure, your teeth and gums must be healthy. Any existing issues like cavities, gum disease, or infections must be treated first.
  • Realistic Expectations

    While bonding provides beautiful results, it's important to understand its limitations compared to, for instance, porcelain veneers or crowns, which might be more suitable for more significant structural issues or achieving a drastically different look.

    While fixed braces are suitable for a wide range of cases, your orthodontist at Millbank Dental Care will conduct a comprehensive examination, including digital scans and X-rays, to accurately diagnose your needs and discuss all suitable treatment options. They will explain the pros and cons of fixed braces versus other alternatives like clear aligners, considering your specific condition, lifestyle, aesthetic preferences, and budget.


However, Composite Bonding may be less suitable for:

  • Extensive Dental Damage
    Teeth with large chips, significant decay, or major structural problems may require more robust solutions like dental crowns.
  • Severe Misalignment or Bite Issues
    Orthodontic treatment (like braces or Invisalign) is typically necessary to correct significant misalignment or bite problems. Bonding is a cosmetic fix, not a structural one relating to occlusion (how your teeth fit together).
  • Patients with Habits like Teeth Grinding (Bruxism)
    Severe teeth grinding can put excessive force on the bonding material, leading to chips or fractures. A night guard may be recommended in such cases, or a different treatment might be more durable.
  • Those Seeking Extreme Stain Resistance
    While composite resin is polished, it is more porous than natural enamel or porcelain and can stain over time, particularly with frequent consumption of coffee, tea, red wine, or tobacco. While stains can sometimes be polished off, porcelain offers superior stain resistance.
  • Individuals with Poor Oral Hygiene
    Like natural teeth, bonded teeth require diligent brushing, flossing, and regular dental check-ups. Poor hygiene can compromise the health of the underlying tooth and the longevity of the bonding.

The best way to determine if Composite Bonding is the right cosmetic dental treatment for you is to schedule a consultation at Millbank Dental Care in Westminster, London. Our experienced dentists will conduct a thorough examination, discuss your aesthetic goals and concerns, explain all suitable treatment options (including bonding, veneers, whitening, etc.), and help you make an informed decision based on your individual needs, oral health, lifestyle, and budget. We are dedicated to recommending the treatment that will provide you with the safest, most effective, and longest-lasting results.

Choosing Composite Bonding at Millbank Dental Care means benefiting from the expertise of dentists who are not only clinically skilled but also possess an artistic eye for detail, ensuring your smile enhancement looks completely natural. Our convenient location in Westminster, London, makes it easily accessible for those living or working in the area.

Composite bonding is a highly versatile treatment capable of addressing a wide range of aesthetic concerns. It is commonly used to

persons mouth showing crooked teeth

Repair Chipped or Cracked Teeth

Even small chips or cracks can be smoothed over and rebuilt using composite resin, restoring the tooth's original shape and integrity.

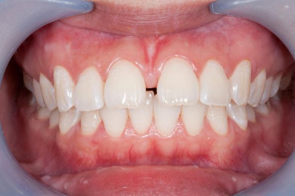
persons mouth showing gaps in the front teeth

Close Gaps between front teeth

Diastemas (spaces between teeth), particularly between the front teeth, can be effectively closed or reduced by applying composite material to the sides of the adjacent teeth.

womans mouth showing discoloured teeth

Improve the Appearance of Discoloured Teeth

While professional teeth whitening is often the first choice for overall brightness, bonding can be used to cover stubborn stains or discolouration that doesn't respond well to whitening.

womans mouth showing uneven teeth

Reshape Uneven or Worn Teeth

Teeth that are too short, irregularly shaped, or worn down from grinding can be lengthened or reshaped with composite resin for a more uniform look.
man with his finger in his mouth with a painful expression

Protect Exposed Tooth Roots

Gum recession can expose the root surface, leading to sensitivity. Bonding can cover and protect these areas.
persons mouth with a blue dental mouth spreader, showing their teeth

Cosmetic Alternative to Amalgam Fillings

Composite resin provides a tooth-coloured filling option that blends in naturally, unlike traditional silver (amalgam) fillings.
Compared to other cosmetic dental procedures like porcelain veneers or crowns, composite bonding is generally considered less invasive and often more cost-effective, making it an accessible option for many patients seeking smile enhancements at Millbank Dental Care in Westminster, London.

Ready To Smile Confidently Again?

Ready to transform your smile? At Millbank Dental Care in Westminster, we use composite bonding to expertly fix chips, gaps, and discolouration. Take the first step towards a flawless, confident smile. Contact our friendly team today to book your consultation
 A smiling girl with braces, showcasing her progress in the Fixed Braces Patient Journey.

The Composite Bonding Journey
at Millbank Dental Care

The Composite Bonding procedure at Millbank Dental Care is a relatively straightforward process, often completed within a single visit, especially for one or two teeth. The exact duration will depend on the number of teeth being treated and the complexity of the desired outcome, but it typically takes between 30 to 60 minutes per tooth.
Consultation and Assessment
The journey begins with a thorough consultation at Millbank Dental Care. You will meet with one of our experienced dentists to discuss your smile goals and concerns. We will examine your teeth and oral health to determine if composite bonding is the right solution for you. This is a crucial step where we assess the suitability of bonding for the specific issues you wish to address and discuss your expectations regarding the final result. We will take the time to explain the procedure, show you examples, and answer any questions you may have. Using shade guides, we will also help you select a composite resin colour that precisely matches your natural tooth enamel, ensuring a seamless repair or enhancement.
Preparation
The preparation for composite bonding is minimal compared to other cosmetic procedures. In most cases, very little, if any, of your natural tooth structure needs to be removed. The tooth surface is gently cleaned and then lightly etched with a mild acidic solution. This etching creates tiny, microscopic pores on the tooth surface, which help the bonding material adhere securely to the enamel. A conditioning liquid (bonding agent) is then applied to the etched area. These steps are painless and usually do not require local anaesthesia unless the bonding is being used to fill a cavity or the tooth surface near the gum line is being worked on.
Application and Sculpting
The tooth-coloured composite resin, selected to match your natural tooth shade, is then applied directly to the tooth surface. The resin is in a soft, putty-like consistency at this stage, allowing our dentist to expertly shape and mould it. This is where the true artistry of bonding comes into play. The material is applied incrementally, layer by layer, with each layer being carefully sculpted to achieve the desired shape, length, and contour. Our dentists possess the skill and precision necessary to mimic the natural anatomy of a tooth, ensuring the final result looks completely natural and harmonious within your smile. They meticulously sculpt the edges, curves, and surface texture to blend imperceptibly with your adjacent teeth.
Curing
Once the composite resin has been applied and expertly shaped, a special high-intensity light (often an LED or halogen light) is shone onto the bonded area. This light activates a catalyst within the resin, causing it to rapidly harden and cure. This curing process typically takes only a few seconds for each layer of composite applied. As the material hardens, it becomes strong and durable, forming a solid bond with the tooth surface.
Finishing and Polishing
After the composite material has fully hardened, the final stage involves meticulous finishing and polishing. Using various dental drills and polishing tools, our dentist will carefully refine the shape, trim any excess material, and ensure the bonded area feels smooth and comfortable. The goal is to achieve a surface texture and lustre that perfectly matches the natural enamel of your other teeth. This step is crucial for both the aesthetic appearance and the longevity of the bonding, as a smooth surface is less likely to stain or accumulate plaque. The result is a seamless repair or enhancement that is virtually indistinguishable from your natural tooth.

Why Choose Millbank Dental Care for Composite Bonding in Westminster, London?

When considering cosmetic dental procedures like Composite Bonding, choosing the right dental practice is paramount. At Millbank Dental Care, we pride ourselves on providing exceptional care, combining clinical expertise with a patient-centred approach.
Experienced Dentists
Our team of dentists in Westminster, London, are highly experienced in cosmetic dentistry techniques, including the art and science of composite bonding. They possess the skill and precision necessary to sculpt the resin for a truly natural and aesthetic result.
Personalised Treatment
We understand that every smile is unique. We take the time to listen to your goals, assess your individual needs, and create a customised treatment plan that is right for you.
Convenient Westminster Location
Situated in SW1, our practice is easily accessible for residents and professionals working in and around Westminster, including areas near the Houses of Parliament, Victoria, and Pimlico.
Patient-Centred Approach
We prioritise your comfort and understanding throughout the treatment process. We take the time to explain every step, answer your questions, and ensure you feel confident in your care.
Modern Facilities
Our clinic is equipped with contemporary dental technology to aid in accurate diagnosis and effective treatment planning.
Affordability
We understand cost is a factor. During your consultation, we provide transparent pricing and can discuss potential payment plan options to help make achieving your dream smile with Composite Bonding more manageable. We strive to make affordable braces a possibility for our patients through clear communication and various options.

Maintaining Your Bonded Smile

Once your Composite Bonding is complete, maintaining its appearance and longevity is key. With proper care, composite bonding can typically last between 5 and 7 years. However, this duration can vary depending on your habits, oral hygiene, and the location of the bonding in your mouth.

Here are some tips for caring for your bonded teeth:

  • Practice Excellent Oral Hygiene
    Brush at least twice a day with a non-abrasive fluoride toothpaste and a soft-bristled brush. Floss daily to clean between teeth.
  • Be Mindful of Staining Agents
    To minimise staining, limit your consumption of substances known to cause discolouration, such as coffee, tea, red wine, berries, and tobacco products. If you do consume them, rinse your mouth with water afterward.
  • Avoid Biting Hard Objects
    Do not bite down on hard candies, ice, pens, or use your teeth to open packages, as this can chip or break the bonding material (and your natural teeth!).
  • Address Teeth Grinding
    If you clench or grind your teeth, especially at night, inform your dentist at Millbank Dental Care. They may recommend a custom-fitted night guard to protect your bonding and natural teeth from excessive forces.
  • Schedule Regular Check-ups and Cleanings
    Visit Millbank Dental Care for routine dental check-ups and professional cleanings. Be sure to inform the dental hygienist about your bonding so they use appropriate cleaning techniques and non-abrasive tools. During your check-up, the dentist will also assess the condition of your bonding and recommend any necessary touch-ups or repairs.
  • Consider Touch-Ups
    Over time, bonding may show signs of wear or staining. Small touch-ups or polishing may be done during your regular appointments to refresh the appearance.

By following these simple care instructions and maintaining your regular appointments at Millbank Dental Care in Westminster, London, you can help ensure your composite bonding remains beautiful and functional for as long as possible.

Frequently Asked Questions (FAQs) about Composite Bonding

Here are some common questions we receive about Composite Bonding at Millbank Dental Care:

Is Composite Bonding painful?

The procedure is generally painless. Most patients do not require anaesthesia, unless the bonding is being used to fill a cavity or if a tooth is chipped near the nerve. You may feel slight pressure during the process.

How long does Composite Bonding last?

With proper care, composite bonding typically lasts between 5 to 7 years. Its lifespan depends on factors such as your bite, oral hygiene habits, diet, and whether you grind your teeth.

Can I whiten my teeth after getting Composite Bonding?

We generally recommend professional teeth whitening before getting composite bonding. Composite resin does not respond to teeth whitening agents in the same way natural tooth enamel does. If you whiten your teeth after bonding, your natural teeth will become lighter, but the bonding will remain the same shade, creating a colour mismatch.

What if my Composite Bonding gets chipped or breaks?

While durable, composite resin is not as strong as natural enamel or porcelain. If your bonding chips or breaks, contact Millbank Dental Care. In many cases, the bonding can be easily repaired in a single visit.

How much does Composite Bonding cost?

The cost of composite bonding varies depending on the complexity of the case, the number of teeth being treated, and the extent of the work required. Compared to veneers or crowns, it is generally less expensive. During your consultation at Millbank Dental Care, we will provide you with a detailed estimate.

Is Composite Bonding reversible?

In many cases, yes. Because the preparation for bonding is minimal (often requiring little to no removal of tooth enamel), the procedure can often be reversed by removing the composite material without permanently altering the natural tooth structure.

How long does a Composite Bonding appointment take?

The time required depends on the number of teeth being bonded and the complexity. Typically, it takes between 30 to 60 minutes per tooth. Multiple teeth can sometimes be bonded in one longer appointment.

Are bonded teeth easy to care for?

Yes, caring for bonded teeth is similar to caring for your natural teeth. It requires consistent brushing, flossing, avoiding hard or staining foods, and regular dental check-ups and cleanings at Millbank Dental Care.

Can Composite Bonding fix crooked teeth?

Bonding can sometimes give the appearance of straighter teeth by reshaping them, but it does not move the teeth. For significant misalignment or bite issues, orthodontic treatment (like braces or clear aligners) is the appropriate solution.

Will my bonded teeth look natural?

When performed by experienced cosmetic dentists, yes. At Millbank Dental Care, our dentists are skilled in colour matching and sculpting the composite resin to blend seamlessly with your natural teeth, achieving a very natural and aesthetically pleasing result.

Start Your Smile Transformation

Discover the possibilities of Composite Bonding for transforming your smile. Visit Millbank Dental Care in Westminster, London, for a personalised consultation. We look forward to helping you smile with renewed confidence.